Kabızlık

KABIZLIK NEDİR?
İnsanda dışkılamanın, günlerce gecikmesi dışkılama olayının gecikmesi ile huzursuzluk, karın ağrısı, şişkinlik, vücutta bir gerginlik, sinirlilik, geçimsizlik, asabiyet, verimsizlik gibi durumların ortaya çıkması. Diğer hayati organlarda düzensizlik görülmesi dışkılama esnasında da zorlama ve bir efor sarf etme sonucunda dışkılanmanın olmasına veya dışkılanmanın tam olamaması sonucu, insanın rahatlayamaması olayına kabızlık diyebiliriz.

Kabızlık Hangi Hastalıklarda Ortaya Çıkar?
Bir insan kabızlıktan bahsettiği zaman o insanda aşağıdaki hastalıklardan birinin veya bir kaçının olduğu anlamına gelir. Bu hastalıkların başlıcaları şunlardır;

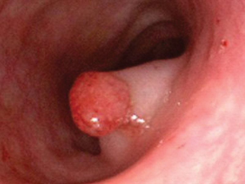
1. Kalın Barsak Kanseri
Kalın barsak sindirim sisteminin son 2 metrelik kısmını teşkil eder. Esas görevi yiyeceklerin ince barsaklarda sindirime tabi tutulmasının ardından, geri kalan artıkların depolanması, sıvı ve elektrolitlerin emilmesini sağlar.

"Kalın Barsak Kanserinin Tedavisi Cerrahidir. Erken Tanı Konursa % 80 - 90 Başarılı Olur"

Kalın barsak kanseri, insanlarda görülen tüm kanserlerin 3. sırasını teşkil eder. Kalın barsak kanserinde, karında şişkinlik, hafif ağrılı kabızlık, iştahsızlık, kilo kaybı gibi belirtiler olur. Başta sinsi seyreder. Kansızlık belirtileri gibi ortaya çıkabilir.

Kalın barsak kanserinde erken ameliyat yapılmazsa, karaciğer ve diğer karın içi organlarına yayılmışsa, yaşama riski gün geçtikçe kötüleşir.

Kabızlıkta, kalın barsak kanserinin ayrıcı tanısı yapılmalı, cerrahi endikasyon varsa hemen gerekli ameliyatın yapılması hayat kurtarıcıdır.

2. Spastik Kolon - Şişkinlik - Kabızlık
Bu hastalıkta kabızlık, karın ağrısı, karında gerginlik, dolgunluk, şişkinlik gibi belirtiler belli başlı şikayetlerdir.

Kalın barsak kanseri ve diğer kalın barsak hastalıklarından ayırıcı tanısının yapılması gerekir.

3. Kalın Barsak Divertikülleri
Kalın barsak duvarının yer yer dışa balonlaşması ile olan keseciklerdir. Kalın barsak divertikülünde belli başlı belirtiler, karında şişkinlik, gerginlik, ağrı, kabızlık gibi belirtilerdir.

Kalın barsak divertikülünde, kabızlık, kanama, kansere çevirme, delinme, karında şişkinlik, karın ağrısı gibi bulguların ciddi seyretmesi halinde cerrahi olarak divertiküllü bölge çıkartılır. Başarı yüksektir.

4. Anal Bölge Hastalıklarında Kabızlık
Hastada fissür analis, fistül, hemoroid veya anal bölgenin kanseri varsa, ağrı da yapıyorlarsa, hastada korku nedeni ile kabızlık oluşabilir. Bu durumlarda tedavi cerrahidir.
Okunma Sayısı: 8304   |   Güncelleme Tarihi: 20.03.2015    Sayfayı Yazdır





  ULAŞIM
Prof. Dr. Mehmet KAYA
  360.Cadde (8.Cad) No:2 Demetevler ANKARA
Prof. Dr. Mehmet KAYA’ nın Diğer Siteleri:
www.mehmetkaya.net | www.temeldusunceler.com | www.elbistanafsin.com
  • Site içerisinde yer alan yazılı ve görsel içerik Prof. Dr. Mehmet KAYA tarafından sağlanmaktadır. İzinsiz kopyalanamaz, kaynak gösterilerek iktibas edilemez. © 2015 - 2021

Profesyonel Web Tasarım